歯科口腔外科

このウィンドーを閉じる


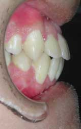
下顎前突症、下顎非対称

術前   術後

上下顎の手術を行い、上顎を前に出し、下顎を後ろに下げています。顔が短くなり、真っすぐになっているのが明瞭です。かみ合わせももちろん良くなっています。
このウィンドーを閉じる